Ишемический инсульт

Лечение ишемического инсульта

Значок нейрососудистных исследований

Будьте готовы к новым испытаниям в лечении ишемического инсульта

 

Все чаще для лечения пациентов с ишемическим инсультом выбирают тромбэктомию. Также теперь основываются не на срочности, а на результатах визуализации. Решение для лечения нейрососудистых заболеваний разработано в соответствии с данными тенденциями. Оно поддерживает высокий уровень эффективности операций и способствует анализу результатов лечения пациентов с инсультом.

Ключевые продукты для этой процедуры

Протоколы Procedure Card

Протоколы ProcedureCard

Одна больница сократила время подготовки пациента к процедуре в рентгеноперационной на 12% с помощью ProcedureCard1

Помогает упорядочить и стандартизировать процесс настройки системы

Помогает сократить количество ошибок на стадии подготовки

    Клинические решения для лечения ишемического инсульта

    Изображение инфографики
    Три SmartCT

    КТ-подобная визуализация

    SmartCT Soft Tissue выполняет КТ-подобную визуализацию мягких тканей и дополняет диагностику инсульта тремя способами. Технология бесконтрастного сканирования помогает выявить ишемические изменения на ранних стадиях. Сканирование ранней фазы помогает определить проксимальную окклюзию. Сканирование поздней фазы с усилением контраста направлено на обнаружение коллатералей.

    SmartCT Vaso IV

    Провекра положения и длины тромба

    SmartCT Vaso позволяет проводить визуализацию за пределами тромба с помощью перипроцедурного создания изображений дистальных сосудов при ишемическом инсульте. SmartCT Vaso — это метод сбора данных, основанный на получении КТ-изображений с помощью конического пучка и внутриартериальной инъекции контраста. Технология позволяет проводить визуализацию за пределами тромба с помощью перипроцедурного создания изображений дистальных сосудов при ишемическом инсульте. При ретроградном наполнении становится видна структура сосудов до и после тромба. 3D-схема сосудов SmartCT Vaso может использоваться при визуализации устройств для извлечения тромба.

    Смотреть наполнение коллатералей

    Визуализация наполнения коллатералей

    Технология Dual View для одновременного просмотра ранней и поздней фаз КТ-подобной визуализации способствует определению ишемической полутени и обеспечивает визуализацию наполнения коллатералей.

    Перипроцедурная проверка кровотечений

    SmartCT Мягких тканей

    Используйте изображения, полученные с помощью SmartCT (КТ-подобные), с решением Neurovascular Suite, чтобы убедиться в успешности лечения и осуществить проверку на наличие кровотечений.

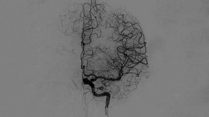
    Четкие изображения при помощи 2D DSA с использованием технологии ClarityIQ

    2D DSA с использованием технологии ClarityIQ

    Технология ClarityIQ применяет опцию автоматической компенсации артефактов движения во время проведения DSA в режиме реального времени, чтобы создавать четкие изображения сосудов. Это способствует принятию верных решений во время операций по лечению инсульта.

    Анатомические ориентиры поддерживают точную 3D-навигацию

    Smart CT

    Технология SmartCT Roadmap предоставляет данные изображений анатомических структур, обеспечивая точность навигации при проведении к тромбу проводника, катетера и специального устройства.

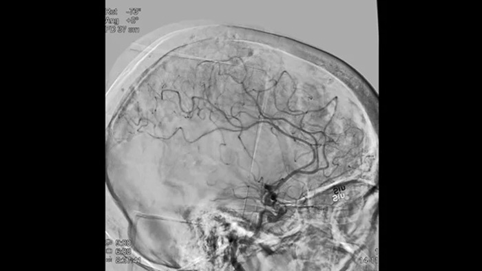
    Подтверждение успеха лечения

    Визуализация DSA

    Высококачественная визуализация в режиме DSA позволяет оценить, был ли тромб полностью удален и произошло ли растворение сгустков крови в головном мозге. Врачам предоставляется возможность проверить восстановление кровотока в области ишемической полутени, а также наличие кровотечений в периоперационный период.

    Усовершенствуйте визуализацию сосудистой сети

    Roadmap Pro

    Принимайте обоснованные решения о том, можно ли добраться до сгустка и какой путь использовать. Технология Roadmap Pro, усовершенствованная схема сосудов с двойным контрастом, помогает улучшить визуализацию перекрывающихся сосудов, сохраняя при этом баланс дозовой нагрузки.

    Инновации рабочего процесса для лечения ишемического инсульта


    Azurion предлагает ряд инновационных продуктов, разработанных для эффективной и легкой работы дежурной команды врачей, позволяя им сосредоточиться на пациенте, а также контролировать дозу облучения во время хирургического лечения ишемического инсульта.

    Azurion-biplane-neuro-cerebral
    FlexVision Pro и TSM Pro

    Управление всеми функциями прямо у стола

    FlexVision Pro предоставляет возможность напрямую управлять предоперационным диагностическим сканированием, данными о пациенте и инструментами планирования непосредственно у стола пациента. Таким образом достигается экономия времени и сокращение перемещений в стерильной зоне. Модуль сенсорного экрана Pro позволяет с легкостью, характерной для использования планшета, управлять изображениями и приложениями прямо у стола пациента.

    Выполнение нескольких действий одновременно может сократить время процедуры

    Концепция работы Instant Parallel Working

    Instant Parallel Working позволяет членам команды одновременно работать над различными задачами, не мешая друг другу, что сокращает время проведения операции для пациентов с острым инсультом.

    Подголовник Neuro уменьшает количество артефактов движения

    Подголовник для неврологических операций

    Предназначен для фиксирования беспокойных пациентов при седации с сохранением сознания, чтобы снизить степень выраженности артефактов движения во время операции.

    Интегрированный операционный стол для интенсивной терапии

    Операционный стол Getinge Magnus

    Операционный стол Getinge Magnus используется для оказания неотложной медицинской, а также травматологической помощи. Он синхронизируется с рентгеновскими системами Philips, используя преимущества передовых решений систем Philips.

    Система Azurion 7 M20 с потолочным креплением упрощает проведение процедур

    Операционный стол Getinge Magnus

    Однопроекционные ангиографические системы все чаще используются как специализированные системы для лечения инсульта или как резервные системы в интервенционных неврологических отделениях наряду с двухпроекционными системами. Система Azurion 7 М20 с потолочным креплением совместима со всеми передовыми нейроинтервенционными инструментами.

    Универсальная помощь при лечении инсульта    

    При остром инсульте каждому пациенту необходима лучшая медицинская помощь. На сегодняшний день все больше пациентов могут воспользоваться преимуществами механической тромбэктомии благодаря измененным рекомендациям, расширившим временные рамки эндоваскулярной терапии.

    Видео DTAS

    Другие процедуры нейрососудистой интервенционной радиологии

    • Лечение аневризмы головного мозга

      Лечение аневризмы головного мозга

      Решения для лечения аневризмы головного мозга. Повышение точности в ходе неврологических интервенций.

      Узнать больше
    • Лечение АВМ

      Лечение АВМ

      Клинические решения для мониторинга и лечения артериовенозных мальформаций (АВМ).

      Узнать больше

    Хотите связаться с Philips или подписаться на новости?

    Мы всегда заинтересованы в сотрудничестве

    Дайте нам знать, как мы можем помочь

    1
    Выберите интересующую вас область
    2
    Контактная информация

    Литература

     

    * Как указано в руководстве по эксплуатации SmartCT

     

    1. Söderman M, Holmin S, Andersson T, Palmgren C, Babic D, Hoornaert B. Image noise reduction algorithm for digital subtraction angiography: clinical results. Radiology. 2013 Nov;269(2):553-60. Результаты использования методов снижения дозы облучения могут меняться в зависимости от клинической задачи, телосложения пациента, исследуемой анатомической структуры, а также клинических условий. Соответствующие определенной клинической задаче настройки определяются специалистом в области интервенционной радиологии с помощью лечащего врача. Результаты указаны из расчета произведения дозы на площадь DSA на кадр в рамках перспективного исследования отобранных случайным образом 20 пациентов, проведенного единым центром. DSA проводилась с помощью Allura Xper с технологией ClarityIQ и Allura Xper без технологии ClarityIQ, которые использовались при лечении стеноза фронтального и латерального позвоночного канала на одном и том же случайном пациенте при одних и тех же условиях, поле обзора и протоколе инъекций. Качество изображений оценивалось субъективно (3 участвовавшими в исследовании радиологами по 5-балльной шкале, где 1 — очень плохо, 5 — отлично).
    2. Результаты были получены в ходе испытаний, проводимых с участием 60 пользователей по всему миру в период с ноября 2015 года по февраль 2016 года. Независимая компания Use-Lab GmbH, которая занимается разработкой интерфейсов пользователя и техническим консультированием при разработке объективных испытаний на удобство использования, разработала данные испытания, а также осуществляла контроль процесса. В испытаниях принимали участие 31 специалист на территории США (16 врачей и 15 рентгенолаборантов) и 30 специалистов на территории Европы (15 врачей и 15 рентгенолаборантов); ими были выполнены соответствующие процедуры с применением платформы Azurion в имитированной рентгеноперационной.

    You are about to visit a Philips global content page

    Continue

    You are about to visit a Philips global content page

    Continue

    Наш сайт лучше всего просматривать с помощью последних версий Microsoft Edge, Google Chrome или Firefox.