Спектральный детектор Philips позволяет получить несколько слоев данных — стандартных и спектральных — за один оборот рентгеновской трубки без предварительной настройки протокола, повысив точность диагностики.
Лучший результат за тоже время.
Узнайте больше о спектральном детекторе на странице Spectral CT Learning Center.

Существенные преимущества спектральной КТ без изменения рабочего процесса Проводите сканирование с двухслойным детектором в привычном режиме, без дополнительных настроек, получая двухэнергетические изображения при низкой дозе облучения - легко и быстро.

Спектральные данные всегда под рукой Спектральные результаты доступны вам по первому требованию, даже ретроспективно.
Проводите диагностирование с учетом динамики изменений.

Сокращение количества повторных исследований Целый ряд клинических инструментов спектрального томографа для усовершенствования визуализации и определения тканей по составу позволяют снизить потребность в повторных сканированиях при недостаточно результативных исследованиях, а также сократить время на постановку диагноза.

Получение результата спектральной КТ в самых разнообразных случаях Использование спектральных данных для широкого круга пациентов и получение результатов высокой точности различной сложности. Двухэнергетическая КТ позволяет избежать неинформативных результатов исследований, а значит многократно сократить время постановки диагноза. Благодаря повышению надежности диагностики вы получаете возможность предоставлять пациентам более качественную медицинскую помощь.
Правда о спектральной КТ может удивить вас! Узнайте подробнее о технологии двухслойного спектрального детектора.
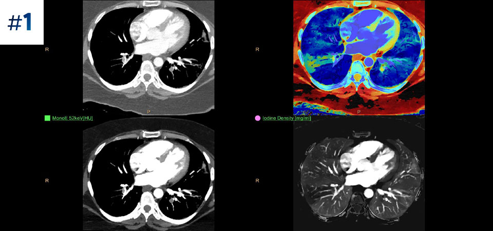
Грудная клетка, исследование на перикардиальный выпот
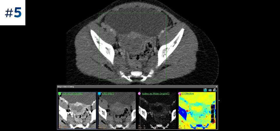
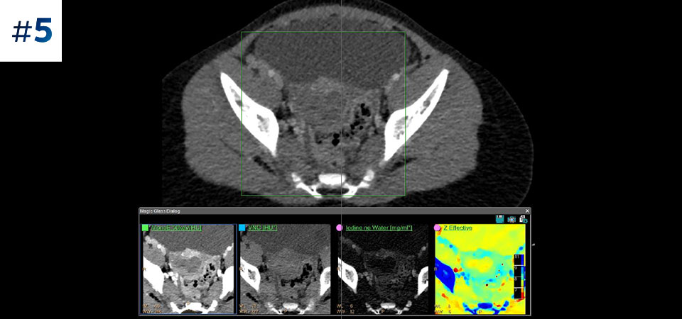
Брюшная полость/таз
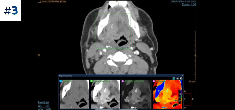
Опухоль в области шеи
Ушко левого предсердия
Брюшная полость ребенка
Загрузите клинические случаи в формате PDF
Проверьте свои ответы здесь
Оцените, насколько КТ со спектральным детектором упрощает рабочий процесс.


Узнайте разницу между КТ на основе спектрального детектора и стандартной КТ

Узнайте о преимуществах КТ на основе спектрального детектора

Снова примите участие в виртуальном саммите Philips по спектральной КТ 2020

Откройте для себя все решения по современным томографам Philips
You are about to visit a Philips global content page
Continue