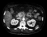
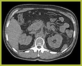
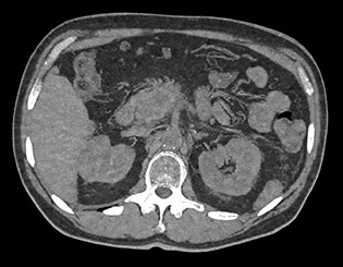
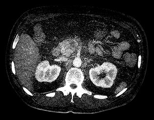
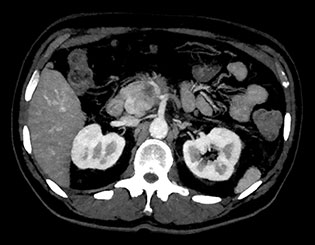
Выполните просмотр требуемой области с помощью нескольких решений благодаря эксклюзивному приложению Spectral Magic Glass для вычленения данных о составе тканей.

Здесь представлена серия изображений, на которых значения воксела обозначают эффективное атомное число. Эффективное атомное число может быть дробным, обозначающим какой-либо элемент, соединение или смесь. Данное число может отличаться от порядкового номера, указанного в периодической таблице. Единица для обозначения — Z.
You are about to visit a Philips global content page
Continue