Наша компания постоянно совершенствует технологии в области компьютерной томографии, чтобы предложить вам наилучшие решения для повышения скорости работы, точности диагностики и уменьшения лучевой нагрузки на пациента. Сервисная программа SmartPath предлагает возможность обновить имеющееся в вашем учреждении оборудование различными программно-аппаратными пакетами, продлив срок его службы и обеспечив вам преимущества использования передовых решений.
Доктор Уильям Гай Вейголд (Wm. Guy Weigold), член Американской коллегии кардиологов, член общества сердечно-сосудистой компьютерной томографии, руководитель отделения сердечной компьютерной томографии в MedStar Washington Hospital Center, руководитель центральной лаборатории сердечной компьютерной томографии в MedStar Health Research Institute рассказывает о возможностях итеративной модельной реконструкции (IMR).
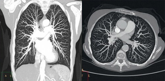
Шумы и артефакты на изображениях ограничивают возможности визуализации необходимых структур. Технология Philips IMR задает новое направление в развитии качества КТ-изображений, обеспечивая практически полное отсутствие шумов в изображениях и существенное улучшение качества изображений в сочетании с заметным снижением лучевой нагрузки1.

Итеративная модельная реконструкция отличается улучшением показателя низкоконтрастного разрешения, обеспечивая надежную диагностику схожих по плотности структур. Преимущества IMR особенно очевидны при диагностике онкологических и кардиологических заболеваний, а также педиатрии. Время реконструкции для большинства стандартных протоколов составляет не более 3 минут*.
* Необходима поддержка технологии IMR Platinum.
* Для возможности установки данного обновления может потребоваться предварительное повышение версии программного обеспечения.
Brilliance iCT1
Ingenuity CT2

Brilliance CT 64-срезовая конфигурация3
1. РУ № ФСЗ 2010/08077 Томограф компьютерный Brilliance iCT с принадлежностями 2. РУ № ФСЗ 2011/09948 Томограф компьютерный Ingenuity CT с принадлежностями 3. Томограф компьютерный Brilliance CT с принадлежностями, вариант исполнения Brilliance CT 64 среза
Каждый пациент по-своему уникален и каждое исследование требует индивидуального подхода. Программная платформа Philips iPatient позволяет учитывать особенности каждого пациента и достигнуть оптимальных* качества изображения и дозы облучения, что обеспечивет стабильность результатов при проведении различных исследований. Кроме того, iPatient дает возможность сканирования срочных и сложных случаев быстрее и более последовательно. Согласно статистике исследование проходит на 24% быстрее, при этом количество действий оператора сокращается на 66%[2]. Это положительно сказывается на пропускной способности и возможности увеличить пациентопоток клиники.
* Под «оптимальными» подразумевается использование программных методик, упрощающих настройку параметров сканирования, а также контроль качества изображения и дозы облучения.

iPatient предоставляет персонализированный рабочий процесс и стабильность результатов при каждом КТ-исследовании
* Для возможности установки данного обновления может потребоваться предварительное повышение версии программного обеспечения.
Brilliance iCT
Ingenuity CT

Brilliance CT 64-срезовая конфигурация

Совместное использование технологий iDose4 и O-MAR приводит к получению изображений высокого качества и сокращению количества артефактов
iDose4 Premium Package включает в себя две передовые технологии, способные повысить качество изображений и обеспечить снижение дозы облучения пациента. Вместе они способствуют высокому качеству изображений и устранению артефактов для повышения достоверности диагностики. Реконструкция для большинства стандартных протоколов выполняется менее, чем за 1 минуту. *Улучшение качества изображения определяется как улучшение пространственного разрешения и/или снижение уровня шума при испытаниях с использованием фантомов.
Технология iDose4 повышает качество изображений*, снижая уровень шума, предотвращая появление артефактов и увеличивая пространственное разрешение при низкой лучевой нагрузке. Применение iDose4 позволяет получить качественные изображения при низкой дозе облучения и малом количестве вводимого контрастного вещества.
Технология O-MAR подавляет артефакты, вызываемые крупными ортопедическими имплантатами.
*Для возможности установки данного обновления может потребоваться предварительное повышение версии программного обеспечения.
Brilliance iCT
Ingenuity CT

Brilliance CT 64-срезовая конфигурация
[1] В клинической практике технология IMR может снизить дозу КТ, однако результат зависит от клинической задачи, телосложения пациента, анатомической области и методов работы. Чтобы установить необходимую дозу для получения изображений диагностического качества, необходимо проконсультироваться с рентгенологом и дозиметристом. Низкоконтрастное разрешение и уровень шума оценивались с помощью референтного протокола для исследований тела путем сравнения алгоритмов IMR и FBP; измерения проводились с использованием срезов толщиной 0,8 мм; для тестирования использовался фантом MITA для контроля качества КТ-изображений (CCT183, The Phantom Laboratory), а результаты оценивались наблюдателями. [2] При испытаниях, проведенных на основе многофазных КТ-исследований печени, программная платформа iPatient сократила время получения результатов на 24% и количество действий оператора во время исследования на 66%. Влияние средств организации процессов на сокращение общего времени исследования и количества действий оператора — четырехфазные компьютерные томографические исследования печени. Николас Ардли, Southern Health; Кевин Бучан, Philips Healthcare; Экта Дхараия, Philips Healthcare.
You are about to visit a Philips global content page
Continue