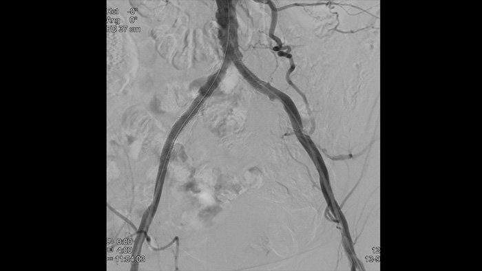
Решение для исследований сосудов предоставляет опции для организации рабочего процесса, специальные интервенционные инструменты и широкую линейку усовершенствованных устройств для исследований сосудов, которые помогут повысить успешность операций и выполнить анализ результатов терапии пациентов с заболеваниями аорты. Данные инструменты и устройства обеспечивают поддержку на протяжении всего исследования: при принятии решений, проведении устройств, выполнении лечения и подтверждении результатов.
После одного месяца использования клиническая значимость приложения VesselNavigator полностью окупила инвестированные средства».
Проф. д-р Ф. Фермассен (F. Vermassen)
Больница University Hospital Ghent

Это лишь одно из множества улучшений в работе рентгеноперационной, которых достиг отдел сердечно-сосудистой хирургии больницы St. Antonius Hospital после установки системы Azurion. Первое исследование с помощью системы Azurion в рентгеноперационной показало впечатляющие результаты, которые были подтверждены независимой третьей стороной.

Philips Azurion — это система, доказавшая свою эффективность в сфере улучшения рабочего процесса. С учетом растущего числа пациентов с заболеваниями аорты Azurion предлагает ряд инновационных продуктов, разработанных для повышения эффективности и слаженности командной работы врачей, проводящих лечение сосудов, позволяя при этом сосредоточиться на пациенте, а также снизить дозу облучения во время операции.

Внутрисосудистое ультразвуковое исследование (ВСУЗИ) — это технология визуализации с использованием катетера, которая позволяет визуализировать кровеносные сосуды изнутри и помогает определить наличие и степень заболевания. С помощью ВСУЗИ можно подобрать и осуществить подходящую медицинскую процедуру индивидуально для каждого пациента, а также убедиться в успешности лечения.

Создает изображения высокого разрешения, позволяя детально рассмотреть сосуды и таким образом обеспечивая проведение точного курса лечения, навигации и последующего наблюдения за пациентом.
Решения для инвазивных процедур при заболеваниях периферических артерий (ЗПА), предлагаемые Philips.
Узнать больше Литература
You are about to visit a Philips global content page
Continue