Наше портфолио решений для вмешательств на периферических артериях представляет специальные интервенционные инструменты и современные системы, которые поддерживают высокий уровень стандартизации и способствуют анализу результатов лечения пациентов. Данные технологии обеспечивают поддержку на протяжении всего исследования: при принятии решений, выполнении лечения и подтверждении результатов.

Наше решение с гибридными операционными Azurion представляет собой инновационную среду для хирургической помощи, которая предлагает исключительную гибкость процедур и простоту использования, при этом отвечая самым высоким стандартам хирургического инфекционного контроля и гигиены. Потолочная система обеспечивает неограниченную гибкость визуализации для различных процедур и исключительную свободу расположения для медицинских бригад. Вы получаете все это в компактной установке, обеспечивающей очень экономичную среду, которая готовит к проведению операций в будущем. Работая для вас, Philips Azurion с FlexArm поможет вам оптимизировать показатели вашей деятельности и обеспечить превосходный уход.
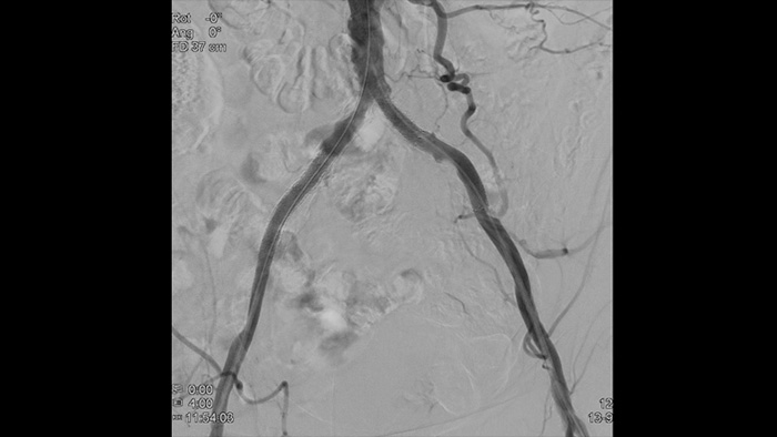
Линейка продуктов для лечения периферических сосудов от компании Philips помогает врачам быстро и точно оценивать состояние пациентов, а также выполнять подготовку сосудов для точного проведения оптимальной терапии.

Наши катетеры для визуализации периферических сосудов помогают оценить поражение и морфологию пораженного участка, включая наличие кальция и тромба. ВСУЗИ также используется для выбора стента подходящих размеров и подтверждения результатов лечения

Наши инструменты для атерэктомии периферических сосудов созданы для устранения блокады кровотока. Лазерные катетеры Turbo-Elite – универсальные и производительные инструменты прицельного воздействия на внутрисосудистые поражения любой степени сложности.

Изображения высокого разрешения позволяют детально рассмотреть сосуды, и таким образом обеспечивают точное проведение лечения, навигации и последующего наблюдения за пациентом.

Четкая визуализации. Оптимальная тактика лечения Решения Philips позволяют врачам получать больше информации, чем может предоставить ангиограмма, способствуя тем самым выбору оптимального лечения.

Philips QuickClear Новая система механической тромбэктомии Philips QuickClear помогает врачам управлять процессом одним нажатием кнопки и запускается за секунды. Стабильная мощность аспирации во время процедуры обеспечивает врачам больший контроль и сокращает время процедуры.

CVX-300 Единственная одобренная FDA эксимерная лазерная система и катетеры для лечения заболеваний периферических и коронарных артерий.

Quick-Cross Select Катетеры Quick-Cross созданы для поддержки в самых сложных случаях. Катетер обеспечивает доступ к разветвленным анатомическим структурам, сложным и диффузным поражениям артерий благодаря 45-градусному углу подхождения кончика.

Quick-Cross Extreme Благодаря катетерам линейки Quick-Cross тысячи врачей смогли преодолеть сложные анатомические структуры и произвести замену проводников, а также получить канал для доставки физраствора и контрастного вещества.

Turbo-Elite Катетер для лазерной атерэктомии Turbo-Elite - универсальный и надежный инструмент для лечения заболеваний периферического сосудистого русла различной морфологии.

Quick-Cross Благодаря катетерам линейки Quick-Cross тысячи врачей смогли преодолеть сложные анатомические структуры и произвести замену проводников, а также получить канал для доставки физраствора и контрастного вещества.

IntraSight IntraSight - платформа для интервенционных вмешательств, которая объединяет в себе современные инструменты визуализации, физиологии и ко-регистрации. Программное обеспечение системы создано для четкой идентификации заболеваний коронарных и периферических сосудов.

Visions PV (0,035") Цифровой катетер для ВСУЗИ Visions PV (0,035") обеспечивает визуализацию периферических артерий и вен в режиме реального времени для повышения эффективнности проводимого вмешательства.

AngioSculpt XL Моделирующий баллонный катетер AngioSculpt XL увеличенной длины специально разработан для работы с длинными диффузными поражениями.



Комплексные решения Philips для интервенционной визуализации, планирования и навигации, которые помогут повысить успешность операций и выполнить анализ результатов лечения пациентов с заболеваниями аорты.
Узнать больше Литература
You are about to visit a Philips global content page
Continue